Day Six
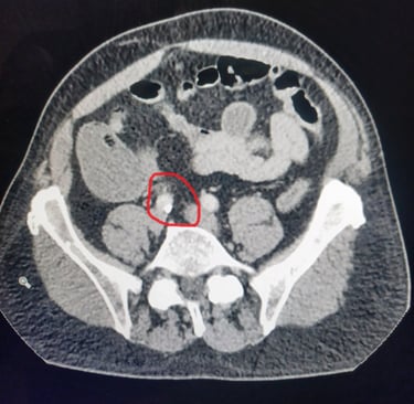
I woke in the morning and decided if I was going to get back on the road I should start eating, so I ate as much breakfast as I could. After an hour I felt worse than ever. So I decided it was time to go to the ER. By the time I got there I was actually crying. I’m not sure if it was from the pain or just relief. The doctor decided to take a CT Scan to see what was going on and offered me a some pain relief. I told him I was alone and needed to drive so he offered a non-narcotic option. I decided to hold off until we knew more. The CT Scan revealed that I had a 5mm kidney stone. At this point I asked if the pain killer worked and he said it usually did, so they injected me with something and it worked. I walked out feeling better and filled some prescriptions, one for Meloxicam, my favorite magic pill. I returned to the Hampton Inn and all that laxative started doing its job, in spades. I decided I would stay another day as my flight out Phoenix had already taken off.
This is as good as I felt in days, ate a big breakfast, my packed lunch from home and a hamburger at Fred’s Steakhouse. There are not many non-meat options in Oklahoma and it is way too far from an ocean to take a chance on fish. The staff was a little cold but I sat at the bar and watched a Mexican soccer match on TV.





